تنوع برند ایمپلنت، چقدر در قیمت ایمپلنت دندان تاثیر دارد؟
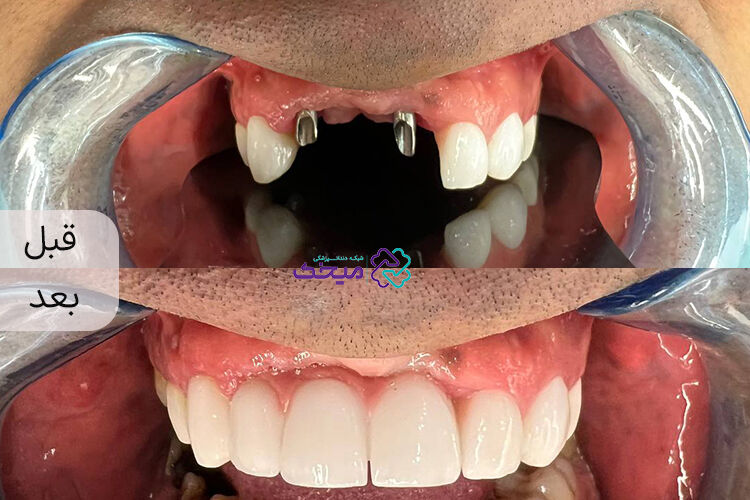
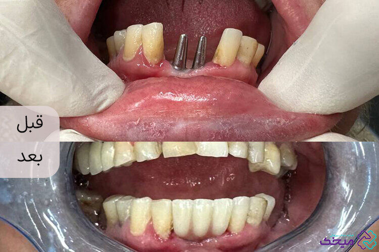
این روزها قیمت ایمپلنت دندان با توجه به محبوبیت درمان ایمپلنت بسیار موردتوجه قرار گرفته است، اما شما هیچ دو نفری را مشاهده نخواهید کرد که هزینه این درمان برای آنها یکسان باشد. در تعیین هزینه قیمت ایمپلنت دندان، طیف وسیعی از موارد نقش دارند. برای مثال نوع مواد و برند ایمپلنت از مهمترین مواردی هستند که روی قیمت ایمپلنت نقش دارند؛ از همین رو در ادامه سه تا از بهترین مدلهای ایمپلنت دندان را به شما معرفی میکنیم تا متوجه ویژگیها و قیمت هر نوع ایمپلنت بشوید.
قیمت ایمپلنت کره ای:
یکی از بهترین و باکیفیتترین ایمپلنتها، ایمپلنت کرهای است. بنابراین اگر بهدنبال دندانی هستید که طول عمر بالایی داشته باشد، میتوانید بهسراغ ایمپلنتهای کرهای بروید. برای ساخت این ایمپلنتها معمولا از فلز تیتانیوم استفاده میشود و از آنجایی که این فلز با بدن سازگاری بالایی دارد، به سرعت به استخوان فک جوش میخورد.
البته اگر از دسته افرادی هستید که به این فلز حساسیت دارید، میتوانید از ایمپلنت کرهای سرامیکی یا زیرکونیوم استفاده کنید. قیمت ایمپلنت کره ای https://mikhakdental.com/cost-of-implant باتوجه به برند و ویژگیهای آن برند مشخص میشود که در ادامه به آنها اشاره خواهیم کرد.
-
ایمپلنت مگاژن یکی از بهترین برندهای ایمپلنت کرهای است که نسبت به سایر برندها هزینه بالاتری دارد و از 14 تا 15 میلیون قیمت آن تعیین شده و معمولا با روکش و تضمین 10 سال گارانتی انجام خواهد شد.
-
ایمپلنت اویدنس از دیگر برندهای ایمپلنت کرهای محسوب میشود که از کیفیت و طول عمر بالایی برخوردار است. قیمت ایمپلنت کره ای اویدنس نیز بین بازه 11 تا 12 میلیون مشخص شده که امکان دارد بسته به شرایط و دندانپزشک این قیمت بیشتر یا کمتر شود.
-
ایمپلنت دنتیس، مدل دیگری است که بهدلیل کیفیت بالایی که دارد در ایران و جهان شناختهشده است. بازه قیمت ایمپلنت دنتیس بین بازه 11 تا 12 میلیون است و با تضمین گارانتی انجام میشود.

قیمت ایمپلنت سوئیسی:
ایمپلنتهای سوئیسی بهدلیل کیفیت خوبی که دارند، در سطح جهان و کشور ما محبوب هستند و بسیاری از دندانپزشکها از ایمپلنتهای ساخت این کشور استفاده میکنند. ایمپلنتهای سوئیسی برندهای مختلفی دارند که رایجترین آنها و برندهایی که در ایران استفاده میشوند عبارتند از:
-
ایمپلنت اشترومن یکی از بهترین ایمپلنتهای سوئیسی است که بهدلیل زمان بهبود کمتر موردتوجه بسیاری از کشورها قرار گرفته و امروزه در بیش از 70 کشور دنیا استفاده میشود. مهمترین ویژگی مثبتی که درباره این ایمپلنت وجود دارد، به سیستم استریلیزاسیون مربوط میشود. براساس این سیستم، ایمپلنت اشترومن یک ایمپلنت استریل است که استفاده از آن عوارض و حساسیتی را به همراه نخواهد داشت.
-
ایمپلنت سوئیسی برند sic یکی دیگر از مدلهای محبوب ایمپلنت است که 97 درصد درمانهای انجام شده با آن موفقیتآمیز بودهاند. از این مدل ایمپلنت در ترکیب با پروتزهای متحرک و ثابت استفاده میشود و ظاهری طبیعی و زیبا به دندانهای شما میدهد. قیمت ایمپلنت سوئیسی در مقایسه با سایر ایمپلنتها بیشتر است، برای مثال قیمت ایمپلنت sic برابر با 18میلیون تومان خواهد بود. اما از آنجایی که کیفیت و طول عمر بالایی دارد، انتخاب ارزشمندی است.

قیمت ایمپلنت آلمانی:
از دیگر ایمپلنتهای مناسب که استفاده از آنها کاربردی و مطمئن است، باید به ایمپلنت آلمانی اشاره کرد. ایمپلنتهایی که محصول آلمان هستند، از کیفیت و طول عمر بالایی برخوردارند و اگر بهخوبی از آنها نگهداری کنید برای 20 الی 30 سال کار خواهند کرد. حال در ادامه برندهای آلمانی ایمپلنت که در کشور ما استفاده میشوند و کیفیت خوبی دارند را معرفی خواهیم کرد.
-
ایمپلنت icx یکی از مشهورترین برندهای آلمانی است که به کیفیت بالا و قیمت مقرونبهصرفه شهرت دارد. این ویژگی باعث شده است که این ایمپلنت در بیشتر از 50 کشور استفاده شود. این برند خود مدلهای مختلفی دارد که دندانپزشک با توجه به شرایط بهترین مدل را انتخاب خواهد کرد. قیمت ایمپلنت آلمانی برند icx برابر با 18میلیون تومان است که نسبت به ویژگیهایی که دارد مناسب و ارزشمند است.
سخن آخر
قیمت ایمپلنت دندان موضوع مهمی است که بسیاری از افراد، براساس آن تصمیم میگیرند که این درمان را انجام بدهند یا خیر. از همین رو باید بدانید که هزینه این درمان برای هیچ دو نفری ثابت و مشخص نیست، زیرا ایمپلنتها مدل و برندهای مختلفی دارند و که قیمت ایمپلنت آن متفاوت میشود و با توجه به شرایطی که دارید، بهترین مدل، برای شما انتخاب میشود. مشورت با یک متخصص میتواند به شما در تصمیمگیری بهتر کمک کند.
این مطلب رپرتاژ آگهی می باشد و توسط تحریریه اقتصاد آنلاین تهیه نشده است.






